野田市にある歯科医院【のだクローバー歯科】は専門医による矯正治療とマウスピース矯正を提供しています
一般歯科 小児歯科 歯科口腔外科 審美的治療 | 千葉県野田市山崎2472-4
一般診療
診療ポリシー
無痛治療
虫歯・根管治療
歯周病治療
入れ歯/ソフトデンチャー
歯科口腔外科
歯の予防
お子さんの診療
小児歯科
小児予防
ムーシールド
キッズクラブ
専門的な診療
インプラント/症例/Q&A
審美的治療(白い人工歯)
ホワイトニング
レーザー治療
医院からの情報
歯科医師/スタッフ紹介
医院案内
アクセスマップ
院内紹介/設備紹介
安全対策
ポイント制について
医院ブログ
サイトマップ
のだクローバー歯科 TOP
歯科医師/スタッフ紹介
医院案内
アクセスマップ
院内紹介/設備紹介
安全対策
医院ブログ
【印刷用地図】
[小児歯科サイト]
[スマホ/携帯サイト]
トップページ
>
矯正歯科/マウスピース矯正
矯正医が手掛ける本格的な歯の矯正
矯正治療は、歯並びを正しく治すことで
見た目を良くする
という目的に加えて、
しっかり噛める
、
発音障害が改善される
などの効用があります。
歯並びは人によってすべて違いますが、その中でも良く知られているのが「出っ歯、受け口、叢生(そうせい)、開咬(かいこう)、八重歯など」です。
見た目が悪いだけでなく、噛み合わせが悪いことで健康上さまざまな影響が出てくる可能性があります。
当院では、
日本大学松戸歯学部 矯正学講座所属の鈴木先生
が、毎月第三金曜日に来院し
矯正無料相談および診察・治療
にあたっています。歯並びや咬み合わせでお悩みの方、お子さんが心配だと思われる方は、いちど医院に相談ください。
出っ歯
受け口
叢生(そうせい)
開咬
マウスピース矯正“アソアライナー”
マウスピース矯正“アソアライナー”は、
着脱可能な透明のマウスピース
を用いて
矯正を行う
方法です。
「矯正のワイヤーには抵抗がある」「銀色の矯正装置は見た目が嫌だ」という方に向いているのがアソアライナーです。
透明なマウスピース型の矯正装置なので、装着していても外見上ほとんどわかりません。
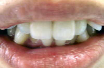
【装着前】
【装着後】
【
治療のながれと使い方
】
理想的な歯並びになるように、少しずつ歯を移動させた状態のアソアライナーを製作・装着することで歯を矯正していきます。
歯の移動量をコンピュータで測定しながら製作するので、正確かつ画期的な矯正装置といえます。
治療は初回は1週間に1回、使用に慣れてもらえば1ヶ月に2回のご来院のときに歯の移動量を確認し新しいマウスピースを作製・お渡しします。
マウスピース型のアソアライナーは透明なので治療中も目立たず、食事の時に装置を取り外せるなどのメリットがあります。
【
治療費用
】
1症例につき15〜30万円(歯の状態や製作するライナーの数によって費用は変わってきます)
※歯のずれが大きい方や、大幅な八重歯、出っ歯の方はクリアアライナーの適用外の場合があります。
Page-Top▲