あなたの環境ではスクリプトが実行されていません。
野田市にある歯科医院【のだクローバー歯科】ではインプラント治療も安全に提供しています
一般歯科 小児歯科 歯科口腔外科 審美的治療 | 千葉県野田市山崎2472-4
一般診療
診療ポリシー
無痛治療
虫歯・根管治療
歯周病治療
入れ歯/ソフトデンチャー
歯科口腔外科
歯の予防
お子さんの診療
小児歯科
小児予防
ムーシールド
キッズクラブ
専門的な診療
インプラント/症例/Q&A
審美的治療(白い人工歯)
ホワイトニング
レーザー治療
医院からの情報
歯科医師/スタッフ紹介
医院案内
アクセスマップ
院内紹介/設備紹介
安全対策
ポイント制について
医院ブログ
サイトマップ
のだクローバー歯科 TOP
歯科医師/スタッフ紹介
医院案内
アクセスマップ
院内紹介/設備紹介
安全対策
医院ブログ
【印刷用地図】
[小児歯科サイト]
[スマホ/携帯サイト]
トップページ
>
インプラント/症例/Q&A
歯科治療におけるインプラント治療とは、虫歯や歯周病などで失ってしまった天然歯の代わりに、チタン製の人工歯根を骨に埋め込み、それを土台として人工歯を装着し、咬み合わせを回復させる治療法です。
インプラントは、顎(あご)骨の中に埋め込む
歯根部
(インプラント本体)、歯の部分に相当する
上部構造
(人工歯)と、その間を連結する
支台部
(アバットメント)の3つで構成されています。
以前なら、手術時間も相当な時間を要したようですが、現在では1〜2本程度の手術なら親知らずを抜く時間より短く、身体的にも負担は少なく済みます。
健康な歯を削ることなく
、天然歯のように咬め、美味しく食事が味わえるようになります。
インプラント治療のながれ
インプラント手術は、歯科医院によっては下顎ができても上顎や骨の厚みが無い方には応じられないところもあるようですが、当院では難症例には所属するインプラント研究会より日本でも有数のインプラント専門医が来院し、簡単なインプラント治療だけでなく骨の厚みの少ない方への増骨手術なども安全に行っております。
麻酔・切開
埋入手術
土台の取り付け
人工歯の取り付け
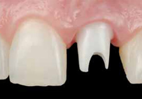
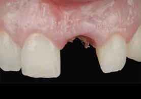
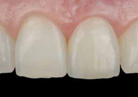
インプラントの症例
≪1歯失ったケースの治療前(左)/治療後(右)≫
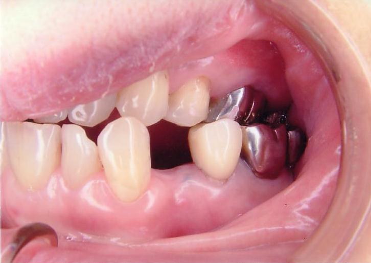
≪ほぼ上下が無歯顎の患者さんにインプラントで入れ歯を固定 治療前(左)/治療後(右)≫
インプラントQ&A
Q 手術のときに痛みなどはありますか?
抜歯と同じように局部麻酔をしてから施術しますので、手術時の痛みは殆どありません。
麻酔が切れる前に鎮静剤をお渡しして、服用していただきます。
また、手術の翌日には状態の確認と消毒のために来院いただき、チェックするようにしています。
Q 治療期間はどれくらいかかりますか?
患者さんのお口の中の状態によって、その治癒期間は変わってきます。
また、手術方法(1回法または2回法)や、骨の厚みを増やす特殊手術などによっても期間は変わってきますが、おおまか約2〜12ヶ月程度を要します。
Q 治療費用について教えてください。
インプラント治療は自由診療(健康保険適用外)のため、治療方法やインプラント本数によっても費用が変わってきます。
大まかには、1本の埋入で上部構造(人工歯)を含めて28〜30万円程度が目安です。
Page-Top▲