あなたの環境ではスクリプトが実行されていません。
野田市にある歯科医院【のだクローバー歯科】はセラミックなどの白い人工歯を提供しています
一般歯科 小児歯科 歯科口腔外科 審美的治療 | 千葉県野田市山崎2472-4
一般診療
診療ポリシー
無痛治療
虫歯・根管治療
歯周病治療
入れ歯/ソフトデンチャー
歯科口腔外科
歯の予防
お子さんの診療
小児歯科
小児予防
ムーシールド
キッズクラブ
専門的な診療
インプラント/症例/Q&A
審美的治療(白い人工歯)
ホワイトニング
レーザー治療
医院からの情報
歯科医師/スタッフ紹介
医院案内
アクセスマップ
院内紹介/設備紹介
安全対策
ポイント制について
医院ブログ
サイトマップ
のだクローバー歯科 TOP
歯科医師/スタッフ紹介
医院案内
アクセスマップ
院内紹介/設備紹介
安全対策
医院ブログ
【印刷用地図】
[小児歯科サイト]
[スマホ/携帯サイト]
トップページ
>
審美歯科(白い人工歯)
審美歯科は健康的で快適な生活をおくるための“
機能性
”に、
口元の美しさをプラス
した美容的な治療法です。
クリーニングのように単に歯を白くきれいにするだけでなく、機能をしっかりと回復させたうえで、色・つや・カタチなどを総合的な治療を計画していきます。
最近では、「ご結婚」「ご入学」「入社」などの『節目』のときに歯を白くしたいと希望される方も増えてきています。
当院では、患者さんがどのようにしたいかを、しっかりとカウンセリングでお聞きしたうえで、そのニーズに合った肌理(きめ)の細かい治療を行なっています。
金属アレルギーの心配もありません
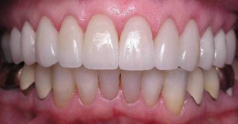
下の画像は土台まですべてセラミックで作る“オールセラミックス(自費)”と、土台を金属で作りセラミックを焼き付けた“メタルボンド(自費)”の透過性の違いです。
保険診療のCR(コンポレットレジン)、自費治療の“オールセラミックス”や透明度を高めた“ジルコニア”などは、金属を一切使わないので金属アレルギーが心配な方にも、安心してお使いいただけます。
≪オールセラミック歯(左)/メタルボンド(右)≫
健康保険から自費まで多種多様
健康保険で対応できる審美的治療は、光で固まるCR(コンポレットレジン)を使います。隣接歯と同じような色合いにすることが可能です。
自費治療(健康保険外治療)は、セラミックやハイブリッドセラミックなどを使ったものや、CR(コンポレットレジン)など、お口の現状や治療法によって種類も多種多様です。
≪オールセラミック歯への治療前(左)と治療後(右)≫
【オールセラミック】
【メタルボンド】
【ハイブリッド】
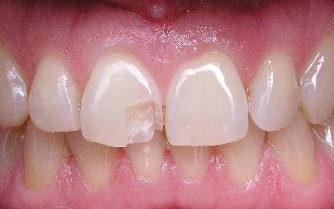
歯をキレイに修復するダイレクトボンディング
歯が欠けてしまった一部分を白いレジン(プラスチック)を盛りつけて修復する治療です。
元の歯の形と同じように作れるので(歯科医師の技術力にもよりますが)、1回の治療時間が少し長くなることがありますが、ほとんどの場合は1〜2回で終わります。
≪治療前(左)と治療後(右)≫
Page-Top▲