あなたの環境ではスクリプトが実行されていません。
野田市にある歯科医院【のだクローバー歯科】では、ホームホワイトニングとメラニン除去を提供しています
一般歯科 小児歯科 歯科口腔外科 審美的治療 | 千葉県野田市山崎2472-4
一般診療
診療ポリシー
無痛治療
虫歯・根管治療
歯周病治療
入れ歯/ソフトデンチャー
歯科口腔外科
歯の予防
お子さんの診療
小児歯科
小児予防
ムーシールド
キッズクラブ
専門的な診療
インプラント/症例/Q&A
審美的治療(白い人工歯)
ホワイトニング
レーザー治療
医院からの情報
歯科医師/スタッフ紹介
医院案内
アクセスマップ
院内紹介/設備紹介
安全対策
ポイント制について
医院ブログ
サイトマップ
のだクローバー歯科 TOP
歯科医師/スタッフ紹介
医院案内
アクセスマップ
院内紹介/設備紹介
安全対策
医院ブログ
【印刷用地図】
[小児歯科サイト]
[スマホ/携帯サイト]
トップページ
>
ホワイトニング
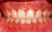
ホワイトニング(ホームホワイトニング)は、ご自宅などで、ご自分のペースで行うことができる歯の審美的な治療です。
ご自身が行なうことに不安を感じるかもしれませんが、当院でケア方法をお教えしますので、安心してヘアマニキュアのように手軽に行なっていただけます。
またメラニン除去は、歯科用レーザーを使って歯ぐきの黒ずみを取りピンク色の健康的な歯ぐきに戻す治療です。
メラニン除去はホワイトニングと併用することで、より高い効果が得られます。
ホームホワイトニング
ホームホワイトニングは、歯を切削することなく白く美しくする方法です。
専用のマウスピース(治療用トレー)を、患者さんの歯に合わせて作成し、余暇のお時間に、トレーにホワイトニング剤を入れ歯に取り付けるだけです。
薬剤で少しづつ白さが甦る、最もエコロジカルな美白として期待されています。
メニュー
詳細
治療費用
(税込)
ホワイトニング・キット
片顎(2週間分)
17,850円
追加ジェル
1本
3,150円
レーザーを使ったメラニン除去(ガムピーリング)
歯グキの黒ズミはメラニン色素の沈着が原因、メラニンを除去することで、子供のようなピンク色の歯ぐきに戻ります。
治療は、歯ぐき(歯肉)の黒い部分にレーザーを当てシミを除去します。約1〜2週間程度できれいなピンク色になります。
メニュー
詳細
治療費用
(税込)
メラニン除去
片顎(3回/1set)
15,000円
片顎(1回追加)
3,000円
ホワイトニングQ&A
Q どうして歯が白くなるの?
ホワイトニング剤の主成分である過酸化水素や過酸化尿素は、化学反応を起こし酸素と水に分解されます。
分解時に発生する酸素が歯の着色物を分解して汚れを落とし、反応時に歯の表面をスリガラスのような状態に変化し歯を白くさせるのです。
Q ホワイトニングでどの程度白くなりますか?
元の歯の色合いから徐々に白くなりますが、某歯磨き粉のCMのような「真っ白」までいかない方も少なく有りません。
また、変色の原因・変色の程度・歯の質等により、個人差があります。
Q 治療の際に痛みはありますか?
薬剤が沁み込んだときの疼痛は出る場合があります。その場合には薬剤を使うのを中止して痛み止めを服用します。
痛みが出る可能性が高いのは、むし歯・歯周病・歯に亀裂が入っている・咬み合あわせによる磨耗などです。
Page-Top▲